
3/14/2025
PITTSBURGH — Researchers at the University of Pittsburgh have identified a novel trigger of a deadly form of ovarian cancer: a subset of progenitor cells that reside in fallopian tube supportive tissue, or stroma.
The discovery of these high-risk cells, described in a new study published today in Cancer Discovery, a journal of the American Association for Cancer Research, could pave the way for better approaches to prevent and detect high-grade serous ovarian cancer (HGSOC), the most common form of ovarian cancer, which kills more than 12,000 women in the U.S. each year.
“Ovarian cancer is the leading cause of death from gynecologic cancer in the Western world, but we currently have no way to detect it early and no prevention strate
HGSOC begins in the fallopian tubes when healthy epithelial cells transform into precursor lesions known as serous tubal intraepithelial carcinoma (STIC). Similar to how precancerous colon polyps can become colorectal cancer, STIC lesions often develop into HGSOC tumors.
But why do healthy cells become STIC? To find out, Coffman and her team turned to the stroma, the non-cancerous connective tissue that helps cancer grow.
“Most researchers have been focused on the epithelial cells that turn into these STIC lesions and eventually into cancer,” said Coffman. “Until now, no one has really looked at the surrounding stromal microenvironment of these lesions.”
In the stroma of ovarian cancer, a type of progenitor cell normally involved in growth and repair of healthy tissue — mesenchymal stem cells (MSCs) — become reprogrammed by tumor cells to support cancer growth. Coffman started by asking when these cancer-associated MSCs form and how early they play a role in cancer formation.
When she and her team profiled MSCs in the fallopian tubes of patients who did not have cancer, they were surprised to find cells that looked like cancer-associated MSCs in these healthy women. These cells, which the researchers named high-risk MSCs, were more common in women with higher risk of ovarian cancer — those of older age or with mutations in the BRCA gene — suggesting that they play a role in cancer initiation.
When the researchers introduced these high-risk MSCs into organoids, or mini organs, derived from patient fallopian tube tissue, healthy epithelial cells transformed into cancerous cells.
“High-risk MSCs promote DNA damage in epithelial cells and then help those mutated cells survive,” explained Coffman. “It’s the perfect storm for cancer initiation.”
High-risk MSCs also promoted tumor cell growth and increased resistance to a chemotherapy drug.
In search of a mechanism for why high-risk MSCs drive ovarian cancer, the researchers found that these cells have loss of an antioxidant called AMP kinase. Lower levels of AMP kinase led to higher levels of a protein called WT1, which in turn drove formation of compounds that cause DNA damage.
“This is the first report that stromal changes in the fallopian tube actually have a causative role in ovarian cancer initiation,” said Coffman. “It also points to a path where we might be able to intervene.”
For example, already existing drugs that upregulate AMP kinase could potentially prevent or reverse early changes in the stroma that lead to ovarian cancer.
The findings could also inform approaches for early detection, which are sorely lacking for ovarian cancer. According to Coffman, compounds secreted by high-risk MSCs that are detectable in the bloodstream could act as biomarkers for early-stage ovarian cancer.
Other authors on the study were Geyon Garcia, Taylor Orellana, M.D., Grace Gorecki, M.D., Leonard Frisbie, Roja Baruwal, Swathi Suresh, Ester Goldfeld, M.D., Ian MacFawn, Ph.D., Ananya Britt, Macy Hale, Brian Isett, Ph.D., Nadine Hempel, Ph.D., Riyue Bao, Ph.D., Ronald Buckanovich, M.D., Ph.D., Toren Finkel, M.D., Ph.D., T. Rinda Soong, M.D., Ph.D., M.P.H., Tullia Bruno, Ph.D., and Huda Atiya, Ph.D., all of Pitt and UPMC; Ian Beddows, Ph.D., and Hui Shen, Ph.D., both of Van Andel Research Institute; Amal Taher Elhaw, of Pitt and Penn State University; and Ronny Drapkin, M.D., Ph.D., of the University of Pennsylvania.
This research was supported by Tina’s Wish (The Honorable Tina Brozman Foundation), the Department of Defense (W81XWH-22-1-0852 and OC210139) and the National Institutes of Health (P50CA272218-01A1, U01 AG077923, P50 CA228991, R01CA242021, S10OD028483 and P30CA047904).
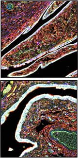
PHOTO DETAILS: click images for high-res versions
Left photo
CAPTION: High-risk MSCs (yellow) are more abundant in fallopian tubes from patients with STIC lesions (bottom) compared to those without these lesions (top).
CREDIT: Garcia et al. 2025, Cancer Discovery
Right photo
CAPTION: Lan Coffman, M.D., Ph.D., associate professor of malignant hematology and medical oncology in the University of Pittsburgh School of Medicine and member of Magee-Womens Research Institute and UPMC Hillman Cancer Center
CREDIT: UPMC