Skip to Content
800-533-8762
  • Careers
  • Newsroom
  • Health Care Professionals
  • About Us
  • Contact Us
UPMC
  • Find a Doctor
  • Services
    • Frequently Searched Services
    • Frequently Searched Services
      Allergy & Immunology Behavioral & Mental Health Cancer Ear, Nose & Throat Endocrinology Gastroenterology Heart & Vascular Imaging Neurosciences Orthopaedics
      Physical Rehabilitation Plastic & Reconstructive Surgery Primary Care Senior Services Sports Medicine Telemedicine Transplant Surgery Walk-In Care Weight Management Women’s Health
      See all Services
    • Services by Region
    • Find a UPMC health care facility close to you quickly by browsing by region.
      UPMC in Western Pa. Western Pa. and New York
      UPMC in Central Pa. Central Pa.
      UPMC in North Central Pa. North Central Pa.
      UPMC in Western Md. Maryland & West Virginia
    • See All Services
  • Locations
    • Locations by Type
    • Locations by Type
      UPMC hospitals
      Hospitals
      Physical Therapy
      Physical Therapy
      Urgent care
      Walk-In Care
      UPMC Outpatient Centers
      Outpatient Centers
      UPMC Imaging Services
      Imaging
      Community Health Centers
      Community Health Centers
      See All Locations
    • Locations by Region
    • Locations by Region
      UPMC in Southwest Pa. Southwest Pa.
      UPMC in North Central Pa. North Central Pa.
      UPMC in Northwest Pa and Ny. Northwest Pa. & Western N.Y.
      UPMC in West Central Pa. West Central Pa.
      UPMC in Central Pa. Central Pa.
      UPMC in Western Md. Maryland & West Virginia
    • See All Locations
  • Patients & Visitors
    • Patient & Visitor Resources
    • Patient & Visitor Resources
      Patients and Visitors Resources Pay a Bill Classes & Events Health Library International Traveling Patients Medical Records
      Patient Information Patient Portals Privacy Information Shared Decision Making Visitor Information
      Man uses mobile phone
      Pay a Bill
      Nurse reviews medical chart
      Request Medical Records
  • Patient Portals
  • Find Covid-19 updates
  • Schedule an appointment
  • Request medical records
  • Pay a bill
  • Learn about financial assistance
  • Find classes & events
  • Send a patient an eCard
  • Make a donation
  • Volunteer
  • Read HealthBeat blog
  • Explore UPMC Careers
Skip to Content
UPMC
  • Find a Doctor
    • Doctor Search
  • Services
    • Frequently Searched Services
      • Heart and Vascular Services
      • Neurosciences Services
      • Orthopaedics Services
      • Primary Care Services
      • Spine Care Services
      • Sports Medicine Services
      • Transplant Services
      • Women's Health Services
      • See all Services
    • Services by Region
      • Find Care in Western Pa
      • Find Care in Central Pa
      • Find Care in North Central Pa
      • Find Care in Western Maryland
    • See All Services
  • Locations
    • Locations by Type
      • Hospitals
      • Walk-In Care
      • Imaging
      • Physical Therapy
      • Outpatient
      • Community Health Centers
      • See All Locations
    • Locations by Region
      • Central Pa.
      • Maryland and West Virginia
      • North Central Pa.
      • Northwest Pa. & Western N.Y.
      • Southwest Pa.
      • West Central Pa.
    • See All Locations
  • Patients & Visitors
    • Patient & Visitor Resources
      • Pay a Bill
      • Classes & Events
      • Health Library
      • International Traveling Patients
      • Medical Records
      • Patient Information
      • Patient Portals
      • Privacy Information
      • Shared Decision Making
      • Visitor Information
      • View All Patients and Visitors Resources
  • I Want To
    • Find Covid-19 updates
    • Schedule an appointment
    • Request medical records
    • Pay a bill
    • Learn about financial assistance
    • Find classes & events
    • Send a patient an eCard
    • Make a donation
    • Volunteer
    • Read HealthBeat blog
    • Explore UPMC Careers
  • Patient Portals
  • Careers
  • Contact Us
  • Newsroom
  • UPMC >
  • Our Services >
  • Heart & Vascular >
  • Conditions We Treat >
  • Left Ventricular Cardiomyopathy
Heart & Vascular
About Us
Conditions We Treat
Abdominal Aortic Aneurysm
Adult Congenital Heart Disease
Adventitial Cystic Disease
Aneurysms
Angina
Aortic Coarctation
Aortic Disease
Aortic Dissection
Aortic Root Aneurysm
Aortic Stenosis
Aortoiliac Occlusive Disease
Aortopathy
Arrhythmia
Arrhythmogenic Right Ventricular Cardiomyopathy
Arteriovenous Malformation
Ascending Aortic Arch Aneurysm
Atherosclerosis
Atrial Fibrillation
AV Fistula
Bicuspid Aortic Valve
Brachiocephalic Arterial Insufficiency
Bradycardia
Brugada Syndrome
Buergers Disease
Cardiac Amyloidosis
Cardiac Arrest
Cardiomyopathy
Carotid Artery Disease
Carotid Artery Stenosis
Chronic Coronary Total Occlusion
Chronic Mesenteric Ischemia
Chronic Venous Insufficiency
Connective Tissue Disorder
Coronary Artery Disease
Coronary Vasospasm
Deep Vein Thrombosis
Diabetic Arterial Disease
Dilated Cardiomyopathy
Dysphagia Lusoria
Familial Lipid Syndrome
Fibromuscular Dysplasia
Foot Leg Ulcers
Gestational Hypertension
Giant Cell Arteritis
Heart Disease
Heart Failure
Heart Murmurs
Heart Palpitations
Heart Valve Disease
Hypercholesterolemia
Hyperlipidemia
Hypertrophic Cardiomyopathy
Infective Endocarditis
Left Ventricular Cardiomyopathy
Long QT Syndrome
Lyme Carditis
Lymphedema
Marfan Syndrome
May Thurner Syndrome
Mitral Valve Disease
Mitral Valve Regurgitation
Mitral Valve Stenosis
Myocarditis
Nutcracker Syndrome
Pediatric Congenital Heart Disease
Pericarditis
Peripartum Cardiomyopathy
Peripheral Aneurysm
Peripheral Artery Disease
Peripheral Venous Disease
Popliteal Artery Entrapment Syndrome
Postpartum Hypertension
Postural Orthostatic Tachycardia Syndrome
Premature Ventricular Contraction
Pulmonary Embolism
Spontaneous Coronary Artery Dissection
Tachycardia
Thoracic Aortic Aneurysm
Thoracic Outlet Syndrome
Tricuspid Valve Regurgitation
Varicose Spider Veins
Vascular Malformations
Vascular Trauma
Vasculitis
Vasospastic Disorder
Venous Thromboembolism
Venous Ulcer
Visceral Artery Aneurysm
Wolff Parkinson White Syndrome
Our Services
For Patients
For Professionals & Students
Our Locations
Contact Us
Heart & Vascular
About Us
Conditions We Treat
Abdominal Aortic Aneurysm
Adult Congenital Heart Disease
Adventitial Cystic Disease
Aneurysms
Angina
Aortic Coarctation
Aortic Disease
Aortic Dissection
Aortic Root Aneurysm
Aortic Stenosis
Aortoiliac Occlusive Disease
Aortopathy
Arrhythmia
Arrhythmogenic Right Ventricular Cardiomyopathy
Arteriovenous Malformation
Ascending Aortic Arch Aneurysm
Atherosclerosis
Atrial Fibrillation
AV Fistula
Bicuspid Aortic Valve
Brachiocephalic Arterial Insufficiency
Bradycardia
Brugada Syndrome
Buergers Disease
Cardiac Amyloidosis
Cardiac Arrest
Cardiomyopathy
Carotid Artery Disease
Carotid Artery Stenosis
Chronic Coronary Total Occlusion
Chronic Mesenteric Ischemia
Chronic Venous Insufficiency
Connective Tissue Disorder
Coronary Artery Disease
Coronary Vasospasm
Deep Vein Thrombosis
Diabetic Arterial Disease
Dilated Cardiomyopathy
Dysphagia Lusoria
Familial Lipid Syndrome
Fibromuscular Dysplasia
Foot Leg Ulcers
Gestational Hypertension
Giant Cell Arteritis
Heart Disease
Heart Failure
Heart Murmurs
Heart Palpitations
Heart Valve Disease
Hypercholesterolemia
Hyperlipidemia
Hypertrophic Cardiomyopathy
Infective Endocarditis
Left Ventricular Cardiomyopathy
Long QT Syndrome
Lyme Carditis
Lymphedema
Marfan Syndrome
May Thurner Syndrome
Mitral Valve Disease
Mitral Valve Regurgitation
Mitral Valve Stenosis
Myocarditis
Nutcracker Syndrome
Pediatric Congenital Heart Disease
Pericarditis
Peripartum Cardiomyopathy
Peripheral Aneurysm
Peripheral Artery Disease
Peripheral Venous Disease
Popliteal Artery Entrapment Syndrome
Postpartum Hypertension
Postural Orthostatic Tachycardia Syndrome
Premature Ventricular Contraction
Pulmonary Embolism
Spontaneous Coronary Artery Dissection
Tachycardia
Thoracic Aortic Aneurysm
Thoracic Outlet Syndrome
Tricuspid Valve Regurgitation
Varicose Spider Veins
Vascular Malformations
Vascular Trauma
Vasculitis
Vasospastic Disorder
Venous Thromboembolism
Venous Ulcer
Visceral Artery Aneurysm
Wolff Parkinson White Syndrome
Our Services
For Patients
For Professionals & Students
Our Locations
Contact Us

Left Ventricular Non-compaction Cardiomyopathy (LVNC)

Long QT Syndrome (LQTS) is a type of arrhythmia that can lead to an abnormally fast heartbeat.

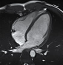
Image of normal heart.

Image of a normal heart.

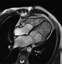
Image of LVNC Heart.

Image of a heart with left ventricular non-compaction cardiomyopathy.

Looking For LVNC Care?

Related services:

  • Heart and Vascular

Find a Provider

On this page

  • What Is LVNC?
  • What Are The Symptoms Of LVNC?
  • How Do You Diagnose LVNC?
  • How Do You Treat LVNC?

What Is Left Ventricular Non-Compaction Cardiomyopathy (LVNC)?

In LVNC, muscle in the heart's left ventricle — one of two lower chambers — becomes sponge-like, with extra space between the muscle tissues. These heart muscle changes can affect how the left chamber pumps blood and can allow blood clots to form in the chamber.

What causes left ventricular non-compaction cardiomyopathy?

In some people, the cause of LVNC is from changes in specific genes (mutations). These gene changes can affect how the heart forms and can lead to left ventricular non-compaction cardiomyopathy.

These gene changes can be inherited from parent to child. Therefore, it is important to determine if the cause of your LVNC is secondary to gene changes.

What are LVNC risk factors and complications?

LVNC can cause complications, including:

  • Heart failure
  • Strokes
  • Heart arrhythmias
  • Sudden death

Back to top


What Are The Signs And Symptoms Of LVNC?

If you have LVNC, you might not have any symptoms at all or even know you have the disease.

Talk to your doctor if you have symptoms such as:

  • Fluttery heartbeats, or palpitations.
  • Chest pain.
  • Trouble breathing or shortness of breath.
  • Fatigue (extreme tiredness), especially when you work out.
  • Dizziness, fainting, or light-headedness.
  • Swelling in your legs or feet.
  • Blood clots.

Let your doctor know if you have family members who've had sudden cardiac arrest, heart failure, or a heart attack.

Back to top


How Do You Diagnose LVNC?

At UPMC, you'll see a heart doctor and genetic counselor. They'll screen you for LVNC and ask about your family history of heart disease.

Tests for LVNC include:

  • MRI — which lets doctors see your heart and how blood flows.
  • EKG — which checks the heart's electrical activity and shows how your heart is beating.
  • Echocardiogram — an ultrasound that creates an image of your heart.
  • Heart rhythm monitoring — with a Holter monitor.
  • Genetic tests — to determine if your LVNC is inherited.

Back to top


How Do You Treat LVNC?

Your care team at UPMC will create a tailored plan to treat your LVNC. Your treatment will depend on your symptoms.

Treatment goals include managing any symptoms and reducing your risk of complications.

Lifestyle changes

To help manage LVNC symptoms and improve your overall health, your doctor might suggest:

  • Being more active.
  • Eating healthy foods.
  • Managing high blood pressure.
  • Quitting smoking and other tobacco use.

Medicine to treat LVNC

Your doctor might prescribe certain drugs to treat LVNC.

These include:

  • Blood thinners to reduce the risk of blood clots.
  • Beta blockers to help control heart beats and lower blood pressure.
  • Water pills to reduce blood pressure.
  • ACE inhibitors to control an enzyme that can make blood pressure higher.

Surgery to treat LVNC

If needed, your doctor might talk to you about:

  • Implanting a pacemaker (a device that helps regulate heartbeats).
  • Implanting a cardioverter defibrillator (ICD), which shocks your heart into a normal heartbeat if you suffer a dangerous heart rhythm.
  • A heart transplant.

By UPMC Editorial Staff. Last reviewed on 2024-10-01.

UPMC
200 Lothrop Street Pittsburgh, PA 15213

412-647-8762 800-533-8762

Patients And Visitors
  • Find a Doctor
  • Locations
  • Pay a Bill
  • Patient & Visitor Resources
  • Disabilities Resource Center
  • Services
  • Medical Records
  • No Surprises Act
  • Price Transparency
  • Financial Assistance
  • Classes & Events
  • Health Library
Health Care Professionals
  • Physician Information
  • Resources
  • Education & Training
  • Departments
  • Credentialing
Newsroom
  • Newsroom Home
  • Inside Life Changing Medicine Blog
  • News Releases
About
  • Why UPMC
  • Facts & Stats
  • Supply Chain Management
  • Community Commitment
  • Financials
  • Supporting UPMC
  • HealthBeat Blog
  • UPMC Apps
  • UPMC Enterprises
  • UPMC Health Plan
  • UPMC International
  • Nondiscrimination Policy
Life changing is...
Follow UPMC
  • Contact Us
  • Website/Email Terms of Use
  • Medical Advice Disclaimer
  • Privacy Information
  • Active Privacy Alerts
  • Sitemap
© 2026 UPMC I Affiliated with the University of Pittsburgh Schools of the Health Sciences Supplemental content provided by Healthwise, Incorporated. To learn more, visit healthwise.org
Find Care
Providers
Video Visit
Portal Login

Chat Keywords List

  • cancel or exit: Stops your conversation
  • start over: Restarts your current scenario
  • help: Shows what this bot can do
  • terms: Shows terms of use and privacy statement
  • feedback: Give us feedback
Continue
Chat with UPMC
RESTART
MENU
CLOSE