Skip to Content
800-533-8762
  • Careers
  • Newsroom
  • Health Care Professionals
  • About Us
  • Contact Us
UPMC
  • Find a Doctor
  • Conditions
  • Services
    • Frequently Searched Services
    • Frequently Searched Services
      Allergy & Immunology Behavioral & Mental Health Cancer Ear, Nose & Throat Endocrinology Gastroenterology Heart & Vascular Imaging Neurosciences Orthopaedics
      Physical Rehabilitation Plastic & Reconstructive Surgery Primary Care Senior Services Sports Medicine Telemedicine Transplant Surgery Walk-In Care Weight Management Women’s Health
      See all Services
    • Services by Region
    • Find a UPMC health care facility close to you quickly by browsing by region.
      UPMC in Western Pa. Western Pa. and New York
      Highlighted Regional Map of UPMC in Central Pa. Central Pa.
      UPMC in North Central Pa. North Central Pa.
      UPMC in Western Md. Maryland & West Virginia
    • See All Services
  • Locations
    • Locations by Type
    • Locations by Type
      UPMC hospitals
      Hospitals
      Physical Therapy
      Physical Therapy
      Urgent care
      Walk-In Care
      UPMC Outpatient Centers
      Outpatient Centers
      UPMC Imaging Services
      Imaging
      Community Health Centers
      Community Health Centers
      See All Locations
    • Locations by Region
    • Locations by Region
      UPMC in Southwest Pa. Southwest Pa.
      UPMC in North Central Pa. North Central Pa.
      UPMC in Northwest Pa and Ny. Northwest Pa. & Western N.Y.
      UPMC in West Central Pa. West Central Pa.
      Highlighted Regional Map of UPMC in Central Pa. Central Pa.
      UPMC in Western Md. Maryland & West Virginia
    • See All Locations
  • Patients & Visitors
    • Patient & Visitor Resources
    • Patient & Visitor Resources
      Patients and Visitors Resources Pay a Bill Classes & Events Health Library International Traveling Patients Medical Records
      Patient Information Patient Portals Privacy Information Shared Decision Making Visitor Information
      Man uses mobile phone
      Pay a Bill
      Nurse reviews medical chart
      Request Medical Records
  • Patient Portals
  • Find Covid-19 updates
  • Schedule an appointment
  • Request medical records
  • Pay a bill
  • Learn about financial assistance
  • Find classes & events
  • Send a patient an eCard
  • Make a donation
  • Volunteer
  • Read HealthBeat blog
  • Explore UPMC Careers
Skip to Content
UPMC
  • Find a Doctor
    • Doctor Search
  • Conditions
    • Search Conditions We Treat
  • Services
    • Frequently Searched Services
      • Heart and Vascular Services
      • Neurosciences Services
      • Orthopaedics Services
      • Primary Care Services
      • Spine Care Services
      • Sports Medicine Services
      • Transplant Services
      • Women's Health Services
      • See all Services
    • Services by Region
      • Find Care in Western Pa
      • Find Care in Central Pa
      • Find Care in North Central Pa
      • Find Care in Western Maryland
    • See All Services
  • Locations
    • Locations by Type
      • Hospitals
      • Walk-In Care
      • Imaging
      • Physical Therapy
      • Outpatient
      • Community Health Centers
      • See All Locations
    • Locations by Region
      • Central Pa.
      • Maryland and West Virginia
      • North Central Pa.
      • Northwest Pa. & Western N.Y.
      • Southwest Pa.
      • West Central Pa.
    • See All Locations
  • Patients & Visitors
    • Patient & Visitor Resources
      • Pay a Bill
      • Classes & Events
      • Health Library
      • International Traveling Patients
      • Medical Records
      • Patient Information
      • Patient Portals
      • Privacy Information
      • Shared Decision Making
      • Visitor Information
      • View All Patients and Visitors Resources
  • I Want To
    • Find Covid-19 updates
    • Schedule an appointment
    • Request medical records
    • Pay a bill
    • Learn about financial assistance
    • Find classes & events
    • Send a patient an eCard
    • Make a donation
    • Volunteer
    • Read HealthBeat blog
    • Explore UPMC Careers
  • Patient Portals
  • Careers
  • Contact Us
  • Newsroom
  • UPMC >
  • Our Services >
  • Neurosurgery >
  • ... >
  • Brain >
  • Treatments >
  • Endoscopic Endonasal Approach >
  • EEA Clinical Case Studies >
  • Arthritic Breakdown in Upper Cervical Spine
Neurosurgery
About Us
Contact Us
Conditions and Treatments
Brain
Conditions
Treatments
Endoscopic Endonasal Approach
Conditions Treated
EEA Breakthroughs
EEA Clinical Case Studies
Trigeminal Schwannoma 360° Surgery
Arthritic Breakdown in Upper Cervical Spine
Olfactory Groove Meningioma
Benefits
EEA FAQs
Teaching and Research
Image Guided Neurosurgery
Transorbital Approach
Gamma Knife Radiosurgery
Neuroendoport Surgery
Microsurgery
Endovascular Surgery
Microvascular Decompression
Movement Disorders & Epilepsy Treatments
Brain Mapping
Spine Neurosurgery
Neurophysiology
Meet the Neurosurgery Experts
Patient Stories
Classes, Events, & News
Neurocirugia
Neurosurgery
About Us
Contact Us
Conditions and Treatments
Brain
Conditions
Treatments
Endoscopic Endonasal Approach
Conditions Treated
EEA Breakthroughs
EEA Clinical Case Studies
Trigeminal Schwannoma 360° Surgery
Arthritic Breakdown in Upper Cervical Spine
Olfactory Groove Meningioma
Benefits
EEA FAQs
Teaching and Research
Image Guided Neurosurgery
Transorbital Approach
Gamma Knife Radiosurgery
Neuroendoport Surgery
Microsurgery
Endovascular Surgery
Microvascular Decompression
Movement Disorders & Epilepsy Treatments
Brain Mapping
Spine Neurosurgery
Neurophysiology
Meet the Neurosurgery Experts
Patient Stories
Classes, Events, & News
Neurocirugia

Minimally Invasive Upper Cervical Spine Surgery Using EEA

EEA Clinical Case Study

The Patient

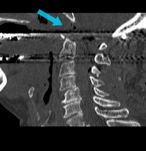
An elderly woman had difficulty walking and swallowing from bony pressure on her spinal cord and brainstem due to arthritic breakdown at the top of her spine (odontoid pannus).

Pre-surgical scan shows bone pressing on the spinal cord and brainstem.

Post-surgical scan shows that bone has successfully been removed via EEA surgery to relieve pressure.

The Challenge

Traditional neurosurgical approaches to the uppermost cervical spine and its connection to the skull require an incision in the back of the throat. This keeps the patient from eating right after surgery and can potentially lead to long-term problems with swallowing. In addition, a tracheotomy is sometimes required to make room in the mouth for the traditional approach.

The Solution

Doctors at UPMC performed surgery using EEA to remove the bone that was pressing on the patient's spinal cord, rather than traditional surgery through her mouth. Because the minimally invasive surgery was performed through her nose, the patient was able to start eating the day after surgery because her mouth was not affected. As with the traditional approach, she also needed to have rods and screws placed to prevent the pressure from coming back and to stabilize the upper spine and skull.

The Result

The patient recovered very well and is walking much better now with no complication from her upper cervical spine surgery. Only her neck movement is limited from the spinal fusion, which would have been needed with any surgical approach.

Treatment and results may not be representative of all similar cases. 

Contact the UPMC Department of Neurosurgery

To make an appointment or learn more:

  • Call us at 1-412-647-3685 or outside the U.S., call 1-877-320-8762.
  • Fill out our UPMC Neurosurgery contact form.

Quick Links

  • Patient Stories
  • For Pediatric Patients
  • Legacy of Innovation
UPMC
200 Lothrop Street Pittsburgh, PA 15213

412-647-8762 800-533-8762

Patients And Visitors
  • Find a Doctor
  • Locations
  • Pay a Bill
  • Patient & Visitor Resources
  • Disabilities Resource Center
  • Services
  • Medical Records
  • No Surprises Act
  • Price Transparency
  • Financial Assistance
  • Classes & Events
  • Health Library
Health Care Professionals
  • Physician Information
  • Resources
  • Education & Training
  • Departments
  • Credentialing
Newsroom
  • Newsroom Home
  • Inside Life Changing Medicine Blog
  • News Releases
About
  • Why UPMC
  • Facts & Stats
  • Supply Chain Management
  • Community Commitment
  • Financials
  • Supporting UPMC
  • HealthBeat Blog
  • UPMC Apps
  • UPMC Enterprises
  • UPMC Health Plan
  • UPMC International
  • Nondiscrimination Policy
Life changing is...
Follow UPMC
  • Contact Us
  • Website/Email Terms of Use
  • Medical Advice Disclaimer
  • Privacy Information
  • Active Privacy Alerts
  • Sitemap
© 2026 UPMC I Affiliated with the University of Pittsburgh Schools of the Health Sciences Supplemental content provided by WebMD Ignite. To learn more, visit webmdignite.com.
Find Care
Providers
Video Visit
Portal Login
Ask UPMC

Helpful Prompts

  • cancel: Stops your conversation
  • help: Shows what this bot can do
  • terms: Shows terms of use and privacy statement
  • feedback: Give us feedback
Continue
UPMC
Restart Chat
Chat Help